Ngày 23/7,TS.BS Văn Đức Minh Lý,Trung tâm Chấn thương Chỉnh hình,Bệnh viện Đa khoa Tâm Anh TP HCM,cho biết kết quả sinh thiết của người bệnh ghi nhận u đại bào xương. Đây là dạng u xương lành tính nhưng có nguy cơ chuyển thành ác tính và di căn phổi.
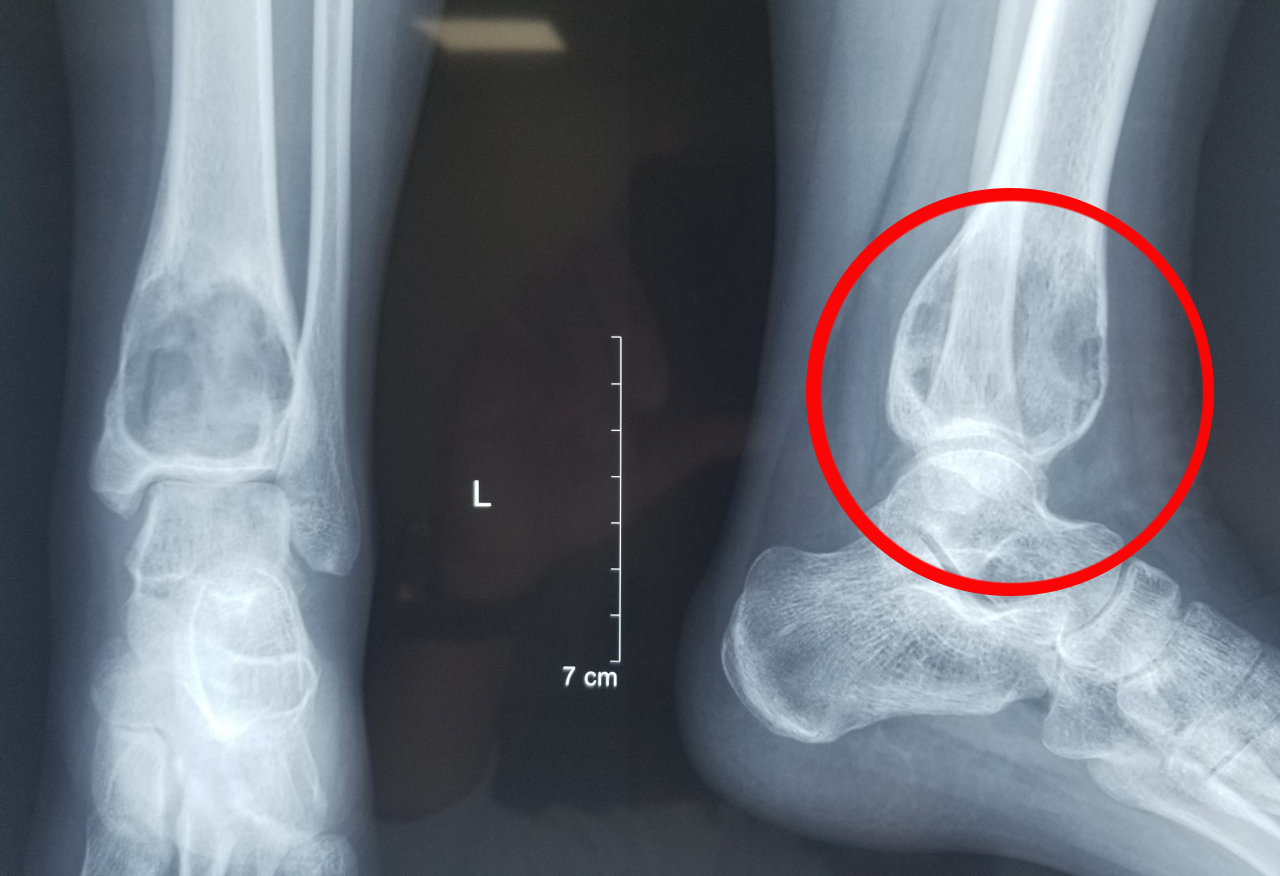
Khối u của người bệnh nằm trong lòng xương chày,ngay trên khớp cổ chân trái. Đây là trường hợp hiếm gặp vì đa số u xương xuất hiện ở vùng gần gối,khớp cổ tay,khớp vai...
Xương chày có đường kính khoảng 3 cm,trong khi khối u đã phát triển gần 5 cm,làm cho xương căng phình,bề mặt mỏng đi nhiều,khả năng gãy xương rất cao. U đã xâm lấn phần mềm,lan xuống sụn khớp cổ chân. "Nếu không điều trị ngay,u sẽ tiếp tục phát triển,phá hủy bề mặt khớp cổ chân,xâm nhập vào xương ở vị trí này,làm mất chức năng của khớp",bác sĩ Lý nói.

Khối u phát triển gây hủy xương tại đầu dưới xương chày của chị Linh. Ảnh: Bệnh viện Đa khoa Tâm Anh
Theo bác sĩ Lý,u đại bào xương có nguy cơ tái phát rất cao nên phương pháp điều trị thường là cắt và loại bỏ hoàn toàn phần xương chày có khối u,sau đó hàn khớp cổ chân. Tuy nhiên,hàn khớp làm suy giảm chức năng khớp cổ chân,gây khó sinh hoạt hằng ngày,nhất là khi người bệnh còn quá trẻ,nhu cầu vận động cao. Vì vậy,phương pháp phẫu thuật nạo u được lựa chọn.
Bác sĩ mở một lỗ nhỏ ở xương chày,thông qua đó nạo bỏ toàn bộ khối u trong lòng xương. Sau đó,kíp mổ sử dụng khoan mài cao tốc để loại bỏ tế bào u trong các rãnh xương. Bác sĩ bơm xi măng sinh học vào để làm đầy lòng xương. Xi măng còn có khả năng tỏa nhiệt,tiêu diệt các tế bào u sót lại đang bám sát vào thành xương,giảm nguy cơ tái phát bệnh. Cuối cùng,bác sĩ lấy một phần xương chậu gia cố và tái tạo bề mặt xương chày.
Sau phẫu thuật,khối u được loại bỏ hoàn toàn,bảo tồn chức năng khớp cổ chân cho chị Linh. Một ngày sau,người bệnh không còn đau,có thể đi lại và bắt đầu tập vật lý trị liệu. Để phòng ngừa nguy cơ u tái phát,trong hai năm đầu sau phẫu thuật,người bệnh cần theo dõi và tái khám định kỳ.

Bác sĩ Lý (phải) phẫu thuật loại bỏ khối u. Ảnh minh họa: Bệnh viện Đa khoa Tâm Anh
U bướu đại bào xương là dạng u nguyên phát phổ biến,xuất hiện ở xương và tiến triển chậm. Giai đoạn đầu,u còn nhỏ nên thường không triệu chứng. Khi khối u phát triển,bắt đầu phá hủy vỏ xương,kích thích màng xương hoặc làm xương yếu đi,các triệu chứng không đặc trưng như sưng đau nhẹ có thể xuất hiện nhưng không ảnh hưởng khả năng vận động. Người bệnh dễ nhầm lẫn với các bệnh lý khác,nhất là khi u xuất hiện ở vùng khớp.
Bác sĩ Lý cho biết nếu u xương vùng khớp tiến triển và phá hủy xương nhiều,không còn khả năng điều trị bảo tồn như nạo khối u,cắt xương...,người bệnh có thể được thay khớp cá thể hóa. Đây là khớp nhân tạo được thiết kế riêng cho từng người bệnh,có kết cấu gần giống nhất với khớp tự nhiên,giúp phục hồi chức năng nhiều nhất có thể. Tuy nhiên,phương pháp điều trị này tốn kém chi phí.
Khi phát hiện các bất thường ở xương khớp,người bệnh nên đi khám sớm để kịp thời điều trị,tiết kiệm thời gian và chi phí,bảo tồn chức năng vận động.
Phi Hồng
* Tên người bệnh đã được thay đổi