Người nhà cho hay tối 8/8 khu vực cúp điện,gia đình sử dụng máy phát điện khoảng bốn tiếng đồng hồ. Máy đặt ở một phòng thông với phòng ngủ 15-20 m2,nhưng không gian kín. Sáng hôm sau,3 người trong gia đình,gồm vợ chồng và con trai 15 tuổi,được phát hiện hôn mê,bên cạnh có chất nôn,được đưa đến bệnh viện cấp cứu.
Bác sĩ chẩn đoán họ bị ngộ độc khí CO (Carbon monoxide) do máy phát điện thải ra. Người chồng ngộ độc nhẹ,ra viện. Hai người còn lại được đặt nội khí quản,chuyển đến Trung tâm Chống độc,Bệnh viện Bạch Mai.
Ngày 16/8,TS. BS Lê Quang Thuận,Phó Giám đốc Trung tâm Chống độc,cho biết tiếp nhận hai bệnh nhân trong tình trạng tổn thương đa cơ quan,đặc biệt là não,tim,cơ,hô hấp và một số tạng khác. Hiện người vợ đã tỉnh và cai máy thở,con trai vẫn còn hôn mê nguy kịch.
"Cả hai mẹ con có tổn thương rõ trên não nên nguy cơ cao sau này gặp các di chứng muộn",bác sĩ Thuận nói,thêm rằng bệnh nhân cần theo dõi,điều trị rất cẩn thận. Bác sĩ cũng khuyến cáo người chồng dù ra viện vẫn phải theo dõi sát và kiểm tra sức khỏe để tránh di chứng muộn.

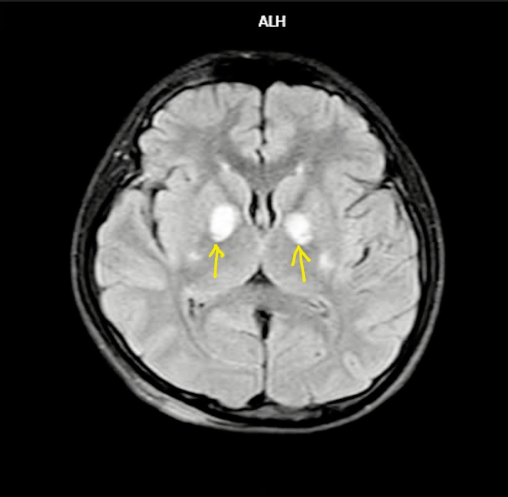
Não bệnh nhân 15 tuổi bị tổn thương do ngộ độc khí CO,qua hình ảnh chụp chiếu. Ảnh: Nguyên Hà
Ngoài gia đình này,Trung tâm Chống độc cũng đang điều trị cho 3 ca ngộ độc khí CO trong một căn bếp ở Hà Nội. Họ đã hơn 10 ngày điều trị bằng oxy cao áp,dùng thuốc dự phòng tránh biến chứng tâm thần,thần kinh. TS.BS. Nguyễn Trung Nguyên,Giám đốc Trung tâm Chống độc,giải thích các thiết bị đun nấu đốt khí gas nhưng cháy không hoàn toàn tạo ra khí CO gây ngộ độc.
CO là chất khí không màu,không mùi,không gây kích ứng đường hô hấp. Do đó,rất khó nhận biết được sự có mặt của chúng trong không khí. Khí được hình thành do sự đốt cháy không hoàn toàn các chất liệu có chứa carbon như xăng,dầu,khí đốt tự nhiên,gỗ hoặc than củi,nhựa,vải,rơm,rạ. Một số trường hợp do hóa chất được hấp thu qua da vào trong cơ thể rồi chuyển hóa thành khí CO và gây ngộ độc.
Khí CO hấp thu nhanh vào cơ thể,nhẹ thì gây buồn nôn,đau đầu,dễ tưởng nhầm cảm cúm hay ngộ độc thức ăn,nặng có thể khiến người hít phải bất tỉnh. Các cơ quan hay bị tổn thương là não,gây tử vong hoặc di chứng lâu dài.
"50% bệnh nhân bị nhiễm độc khí CO dù nhẹ vẫn sẽ bị các di chứng về tâm thần,thần kinh,sa sút trí tuệ,suy giảm trí nhớ",bác sĩ Nguyên nói. Hơn 30% người bị ngộ độc nặng ban đầu,trong vòng 8 năm sau có thể bị tổn thương tim mạch,biến chứng loạn nhịp tim. Người sau 35 tuổi ngộ độc CO thường nguy cơ cao bị di chứng. Điều trị sớm và tích cực sẽ giảm mức độ nặng,giảm nguy cơ tử vong và hạn chế di chứng.
Lê Nga