12 tháng sau chị Kiều tái khám,siêu âm cho thấy khối u biến mất,không tái phát,không di căn hạch,tuyến giáp được bảo tồn nguyên vẹn.
"Với kết quả này người bệnh được coi là đã điều trị triệt căn tổn thương ung thư,chỉ cần tái khám định kỳ mỗi 6-12 tháng",BS.CKII Lê Văn Khánh,Trưởng khoa Điện quang can thiệp,Bệnh viện Đa khoa Tâm Anh Hà Nội,cho biết.
Một năm trước chị Kiều thường mệt mỏi,đến Bệnh viện Đa khoa Tâm Anh Hà Nội khám. Người thân từng mắc ung thư tuyến giáp nên chị Kiều thuộc nhóm nguy cơ cao,được bác sĩ chọc hút kim nhỏ dưới hướng dẫn siêu âm để lấy mẫu xét nghiệm. Kết quả cho thấy chị mắc ung thư tuyến giáp thể nhú giai đoạn sớm.
Ngày 29/10,bác sĩ Khánh cho hay thông thường phương pháp điều trị ung thư tuyến giáp phổ biến là phẫu thuật cắt bán phần hoặc toàn bộ tuyến giáp. Sau đó người bệnh uống thuốc iốt để tránh ung thư tái phát và uống hormone tuyến giáp suốt đời. Trường hợp chị Kiều,khối u kích thước dưới 1 cm,cách xa vỏ bao tuyến giáp hơn 5 mm và siêu âm chưa thấy hạch di căn. Do đó,bác sĩ lựa chọn phương pháp đốt sóng cao tần (RFA) để bảo tồn tối đa tuyến giáp bệnh nhân.
RFA được chỉ định cho người bệnh có nhu cầu bảo tồn tuyến giáp,khối u ở giai đoạn sớm,chưa di căn hạch,kích thước dưới 1 cm và cách xa bao giáp 5 mm - như bệnh cảnh của chị Kiều. "Kích thước và khoảng cách này để diện đốt phủ hết nhân và quanh nhân khối u,đảm bảo không tái phát sau đốt",bác sĩ Khánh giải thích,thêm rằng những trường hợp khác các điều kiện trên thường không sử dụng RFA mà cần phẫu thuật để đảm bảo triệt căn ung thư.
Để điều trị cho chị Kiều,dưới hướng dẫn siêu âm bác sĩ đưa kim đốt xuyên qua da,tiếp cận khối u. Nhiệt từ dòng điện xoay chiều ở đầu kim đốt cháy các mô xung quanh gây hoại tử,theo thời gian u teo nhỏ dần.
Sau 20 phút đốt điện,khối u mất hoàn toàn,người bệnh xuất viện ngay trong ngày. Đến nay,sau một năm,u không tái phát,bác sĩ Khánh cho rằng kết quả này tương đồng với nhiều nghiên cứu trên thế giới. Ví dụ,nghiên cứu của Hội tuyến giáp Mỹ công bố năm 2022,tổng hợp các báo cáo về điều trị ung thư tuyến giáp bằng sóng cao tần RFA trên 1.770 bệnh nhân,cho thấy 79% trường hợp ung thư biến mất hoàn toàn,khoảng 0,4% nhân vẫn tiến triển sau đốt. Kết quả này được đưa ra sau thời gian trung bình 33 tháng theo dõi bệnh nhân đốt RFA.

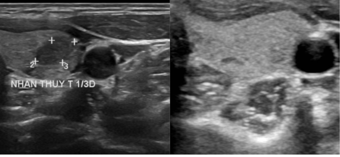
Khối u của chị Kiều trước điều trị (bên trái) và sau 12 tháng đốt sóng cao tần (bên phải) biến mất hoàn toàn. Ảnh: Bệnh viện Đa khoa Tâm Anh
Ung thư tuyến giáp phổ biến,thường gặp ở nữ hơn nam. Thống kê của Globocan năm 2022 ghi nhận ung thư tuyến giáp xếp thứ 6 về số ca mắc mới tại Việt Nam,tỷ lệ tử vong xếp thứ 21/32 các bệnh ung thư. "Khoảng 95% trường hợp mắc ung thư tuyến giáp ở thể nhú,mức độ ác tính thấp",bác sĩ Khánh nói,thêm rằng so với các loại ung thư khác,ung thư tuyến giáp có tốc độ tiến triển chậm,tỷ lệ sống cao nhất. Tỷ lệ sống sau 5 năm của người ung thư tuyến giáp khoảng 90%,ở giai đoạn khối u khu trú đến 99,5%.

Bác sĩ Khánh siêu âm tuyến giáp cho một người bệnh. Ảnh minh họa: Bệnh viện Đa khoa Tâm Anh
Số ca mắc ung thư tuyến giáp có xu hướng trẻ hóa,bác sĩ Khánh cho rằng có thể do ý thức tầm soát ung thư của người dân tăng lên,các kỹ thuật hiện đại giúp phát hiện bệnh sớm như siêu âm vi mạch,siêu âm đàn hồi mô. Hiện,xu hướng điều trị bảo tồn tối đa mô tuyến giáp như cắt bán phần tuyến giáp hoặc đốt sóng cao tần có tỷ lệ tái phát u thấp,ít biến chứng,ít di căn hạch.
Bác sĩ Khánh khuyến cáo người thuộc nhóm nguy cơ cao nên tầm soát bệnh sớm gồm tiền sử bản thân có nhân tuyến giáp hoặc người thân mắc ung thư giáp,phụ nữ dự định có con hoặc xuất hiện các triệu chứng nghi ngờ như khối u ở cổ,khó nuốt,khàn giọng kéo dài,sưng to vùng cổ,hoặc nổi hạch vùng cổ,phơi nhiễm phóng xạ.
Hoài Phạm
20h,ngày 29/10,Hệ thống Bệnh viện Đa khoa Tâm Anh tổ chức tư vấn trực tuyến "U tuyến giáp: Can thiệp hiệu quả,điều trị an toàn",phát trên VnExpress.
Chương trình có các bác sĩ tham gia gồm TS.BS Vũ Hữu Khiêm,Trưởng khoa Ung bướu; ThS.BS.CKII Nguyễn Văn Trường,Phó khoa Ngoại Tổng hợp và BS.CKII Lê Văn Khánh. Độc giả gửi câu hỏi tại đây.